Após a reparação precoce da coarctação da aorta (CoA), persiste hipertensão arterial sistémica em repouso ou desencadeada pelo exercício físico num número significativo de doentes. A recoarctação (reCoA) explica apenas uma pequena parte destes casos. Estudos recentes implicaram como etiologia anomalias intrínsecas da geometria do arco aórtico (em forma de arco gótico), independentemente do tipo de reparação (cirúrgica ou percutânea)1,2.
Reavaliação retrospetiva de todas as imagens de ressonância magnética (RM) obtidas numa série consecutiva de doentes seguidos na nossa instituição, com vista a estudar a prevalência dos vários subtipos de anatomia do arco aórtico: arco gótico, arco românico e em forma de ameia. Todas as imagens foram adquiridas com um magneto 1.5T (GE Medical Systems, Milwaukee, WI, USA). A classificação por subtipo anatómico foi efetuada por 2 médicos experientes em ressonância magnética (> 1500 exames, em conjunto) baseada em imagens obtidas por meio de técnicas dark blood, cine ou angiografias.
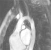
De um total de 77 doentes consecutivos com CoA corrigida, 59 tinham imagens que permitiam efetuar a classificação do subtipo do arco aórtico. Doentes com recoarctação ou outras anomalias significativas do arco como hipoplasia do arco no contexto de síndroma do coração esquerdo hipoplásico foram excluídos. Os resultados mostraram a seguinte distribuição por subtipo: arco românico (n = 22; figura 1), arco gótico (n = 20; figura 2) e em forma de ameia (n = 17; figura 3). A distribuição dos subtipos de arco aórtico é sobreponível ao descrito na literatura, em séries estrangeiras.
A nossa série de doentes com CoA corrigida mostrou uma percentagem significativa de geometria do arco aórtico que predispõe a HTA em repouso ou com o exercício. As RM após a reparação do arco aórtico devem estudar, para além de evidência anatómica e fisiológica de reCoA, a geometria do arco aórtico, pois esta tem um impacto significativo no manejo e prognóstico destes doentes.
Conflito de interessesOs autores declaram não haver conflito de interesses.







