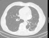
Doente do sexo masculino, de 69 anos, com antecedentes de hipertensão arterial, dislipidemia, AVC em 1995 e traumatismo toraco‐abdominal esquerdo em 1999, após embate com boi, do qual resultou hemopneumotórax. Trata‐se de um doente referenciado à consulta de cardiologia após deteção acidental numa tomografia computadorizada (TC) toraco‐abdominal de uma extensa área (54×36×20mm) com calcificações lineares irregulares localizada posteriormente dentro do saco pericárdico, em posição alta (Figura 1). Para esclarecimento adicional da natureza intra/extravascular da calcificação e despiste de lesão tumoral foi pedido um ecocardiograma transtorácico, transesofágico e uma angio‐TC torácica.
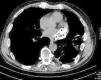
No ecocardiograma observa‐se uma imagem de massa arredondada com paredes calcificadas, assente sobre a aurícula esquerda (onde é ligeiramente compressiva) e o sulco auriculoventricular das paredes lateral e anterior, cuja fibrocalcificação parece envolver o miocárdio do segmento basal da parede lateral (mais fino, hiperecogénico e acinético) (Figura 2). A angio‐TC descreve a lesão dentro do saco pericárdico em posição alta e com amplo contacto com o pericárdio sugerindo epicentro nesta estrutura. A lesão aparenta ter uma origem extravascular podendo ser de origem sequelar a traumatismo antigo (Figura 3).
Inicialmente o estudo foi dirigido à caracterização da lesão, à avaliação das restantes cavidades cardíacas (e em particular o apêndice auricular esquerdo), bem como à condição hemodinâmica inerente.
Numa breve revisão da literatura encontrou‐se a descrição de massas pericárdicas, quistos pericárdicos, calcificações pericárdicas (algumas de etiologia traumática), mas não se identificou nenhum caso com caraterísticas similares ao descrito.
Responsabilidades éticasProteção de pessoas e animaisOs autores declaram que para esta investigação não se realizaram experiências em seres humanos e/ou animais.
Confidencialidade dos dadosOs autores declaram ter seguido os protocolos do seu centro de trabalho acerca da publicação dos dados de pacientes.
Direito à privacidade e consentimento escritoOs autores declaram que não aparecem dados de pacientes neste artigo.
Conflito de interessesOs autores declaram não haver conflito de interesses.







