Sugestões
Idioma
Informação da revista
Article type: Imaging in cardiology
Acesso de texto completo
Pre-proof, online em 12 de janeiro de 2026

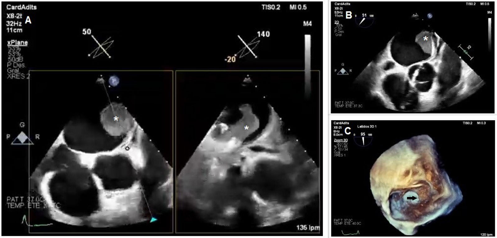
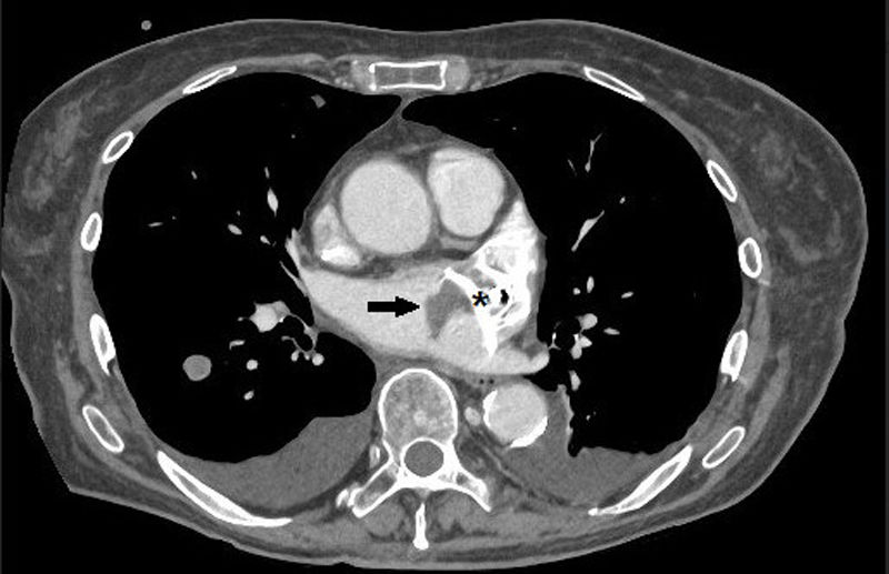
Late thrombosis of a left atrial appendage occlusion in a patient with cancer

Trombose tardia de oclusão do apêndice auricular esquerdo em doente com cancro
Visitas
20
María Noelia Pizá1,
Autor para correspondência
noeliapiza23@gmail.com

Corresponding author:
, Lucía Fernández Gassó1,2,3, Teresa López Fernández1,2
1 Unidad de Imagen Cardíaca. Hospital Universitario La Paz, Madrid, España
2 Grupo de Investigación en Cardiología Clínica e Invasiva (ICCI-PAZ), IdiPaz, Hospital Universitario La Paz, Madrid, España
3 Facultad de Ciencias Biomédicas y de la Salud, Departamento de Medicina, Universidad Europea de Madrid, Madrid, Spain
Este item recebeu
Baixar PDF
Idiomas
Revista Portuguesa de Cardiologia
Opções de artigo
Ferramentas