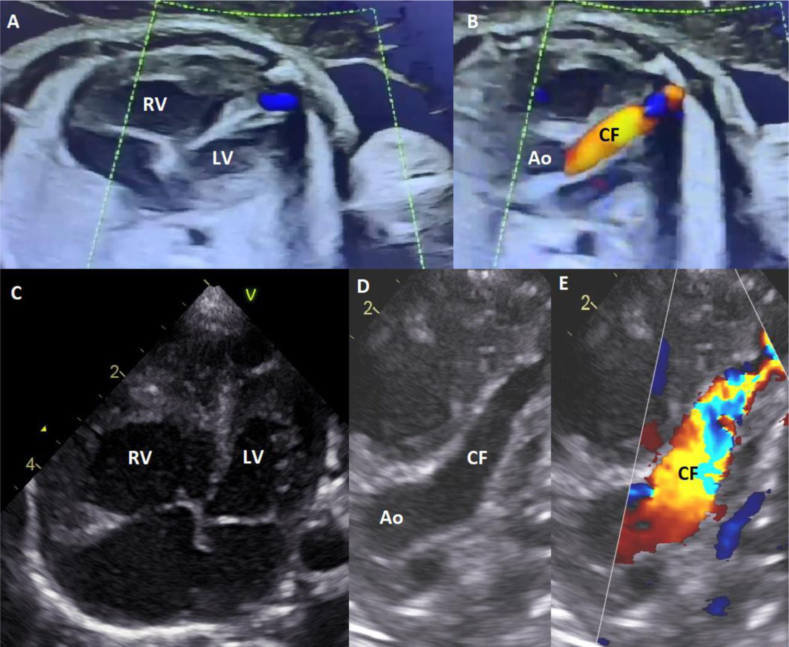
A term newborn (38 weeks, 2965 g) was diagnosed prenatally with a large coronary artery fistula (CAF) from the left anterior descending artery to the apex of the right ventricle, causing hemodynamic compromise, including right ventricular dilation and retrograde aortic flow (Figure 1). The delivery was planned to take place at a tertiary center with cardiac assistance. After an uneventful vaginal delivery, the baby was transferred for surgical intervention.
Prenatal and postnatal echocardiograms showing right ventricular dilatation and large coronary fistula. (A) Prenatal 4-chamber view with right ventricular dilatation, compared to the left ventricle. (B) Prenatal view showing a large coronary fistula with antegrade flow from the aorta to the apex of the right ventricle. (C) Postnatal 4-chamber view with right ventricular dilatation. (D and E) Postnatal view showing a large coronary fistula with antegrade flow from the aorta. Ao: aorta; CF: coronary fistula; LV: left ventricle; RV: right ventricle.
Echocardiography confirmed a large CAF with bidirectional flow and systemic diastolic steal. Computed tomogrpahy angiography (CTA) showed a large, tortuous vessel (8 mm × 7 mm at origin), distal diameter of 6 mm, with significant dilation of the right ventricle and atrium (Figure 2). Surgical ligation of the fistula was performed on day 3 (Figure 2). Persistent fistula on follow-up echo and CTA required re-ligation above the previous site on day 11, which resolved the condition. Both surgeries were uneventful, performed without extracorporeal circulation. The baby was discharged on day 17 with anticongestive therapy and is currently doing well, weighing 4600 g at 2 months.
(A) Computed tomography angiography three-dimensional images showing the whole fistula to its distal end as it enters the right ventricular cavity (white arrow). (B) The same view from the surgeon's perspective. Multimodal evaluation allows for excellent preoperative assessment and adequately represents the anatomy the surgeon will find.
Coronary artery fistula is a rare congenital anomaly (1 in 50000 live births), involving abnormal connections between coronary arteries and cardiac chambers.1–5 The prenatal diagnosis is complex. Although it is usually asymptomatic, large or symptomatic CAFs may cause heart failure or ischemia and often require intervention. While transcatheter closure is preferred for its safety,3 surgical repair is necessary for complex cases.2,4,5 This case highlights the importance of prenatal diagnosis, allowing for delivery planning at a referral center and early intervention, which reduces morbidity.1,5 Follow-up is essential to check ventricular and vascular remodeling and to prevent complications.1,4,5
Conflicts of interestThe authors have no conflicts of interest to declare.


