Os tumores secundários são muito mais frequentes do que os tumores primários; contudo, a metastização cardíaca do carcinoma laríngeo é incomum.
Apresentamos o caso de um homem de 71 anos, com antecedentes de carcinoma laríngeo, admitido no Serviço de Urgência por clínica sugestiva de infeção respiratória, com 2 semanas de evolução. Face à ausência de resposta terapêutica e deterioração clínica progressiva, realizou um ecocardiograma transtorácico, que revelou uma volumosa massa infiltrativa no ventrículo direito, envolvendo o ápex, septo interventricular e parede livre, não condicionando obstrução significativa do fluxo na câmara de saída. A avaliação imagiológica com tomografia axial computorizada mostrou sinais sugestivos de metastização difusa da neoplasia laríngea, previamente diagnosticada.
Secondary tumors are much more frequent than primary tumors, but cardiac metastasis of laryngeal carcinoma is uncommon.
The authors report the case of a 71-year-old man, with a history of laryngeal carcinoma, admitted to the emergency room with symptoms of two weeks’ evolution suggestive of respiratory infection. Due to lack of therapeutic response and progressive clinical deterioration, a transthoracic echocardiogram was performed which revealed a large infiltrating mass within the right ventricle, involving the apex, interventricular septum and free wall, not causing significant right ventricular outflow tract obstruction. Evaluation by computed tomography showed signs of widespread metastasis from the previously diagnosed laryngeal cancer.
Os tumores cardíacos secundários apresentam uma incidência superior à dos tumores primários, podendo ser encontrados em até 18% dos doentes com doença metastática1. Contudo, o envolvimento cardíaco metastático a partir de um carcinoma laríngeo é raro, existindo poucos casos descritos na literatura2,3.
Descreve-se o caso de um homem de 71 anos, com história de carcinoma da laringe, a quem foi diagnosticada uma massa volumosa e infiltrativa ao nível do ventrículo direito, compatível com lesão secundária do tumor laríngeo.
Caso clínicoHomem de 71 anos, hipertenso e ex-fumador, com história de carcinoma epidermoide da laringe, diagnosticado há um ano, tendo sido submetido a laringectomia total e esvaziamento ganglionar, assim como radioterapia adjuvante. Foi admitido no nosso hospital por clínica sugestiva de infeção respiratória com 2 semanas de evolução. Apresentava ainda queixas de dor torácica atípica e fadiga progressiva.
Tinha antecedentes de tuberculose pulmonar tratada, doença pulmonar obstrutiva crónica, doença cerebrovascular e insuficiência renal terminal. Sem patologia do foro cardiovascular previamente conhecida.
No Serviço de Urgência, realizou radiografia torácica, que revelou infiltrado pulmonar bilateral, com várias lesões de características nodulares e derrame pleural esquerdo. O eletrocardiograma mostrou taquicardia sinusal, má progressão de ondas R e um ligeiro supradesnivelamento do segmento ST (<2mm) nas derivações V1 a V3 (Figura 1). O estudo analítico não mostrou elevação dos marcadores de necrose miocárdica, tendo revelado anemia e marcadores inflamatórios significativamente elevados.
Ficou internado com o diagnóstico de pneumonia adquirida na comunidade. Contudo, verificou-se ausência de resposta terapêutica face a múltiplos e sequenciais esquemas de antibióticos, apresentando deterioração progressiva do estado geral. Face a esta evolução desfavorável, realizou um ecocardiograma transtorácico (ecógrafo Acuson SC 2000 Siemens; sonda 8v3c), que revelou uma volumosa massa infiltrativa (45 x 40mm), ao nível do ápex do ventrículo direito (VD), estendendo-se ao longo do septo interventricular e revestindo toda a parede livre do VD até à câmara de saída (Figura 2). A massa era ecodensa, apresentava bordos definidos, textura heterogénea e ausência de sinais de vascularização com o fluxo Doppler cor. Apesar de se verificar uma discreta aceleração do fluxo ao nível da câmara de saída do VD, não condicionava obstrução significativa a este nível (Figura 2D). Mantinha boa função sistólica biventricular.
(A-D) Ecocardiograma transtorácico, mostrando a presença de massa infiltrativa ao nível do VD (seta), envolvendo toda a região apical, septo interventricular e parede livre do VD, não condicionando obstrução significativa ao nível da câmara de saída do VD (2D). AD: aurícula direita; AE: aurícula esquerda; SIV: septo interventricular; VD: ventrículo direito; VE: ventrículo esquerdo.
Dado o contexto clínico do doente, a massa cardíaca observada foi interpretada como uma lesão metastática, secundária à neoplasia laríngea, já conhecida.
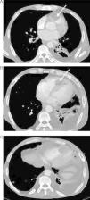
Para melhor caracterização e estadiamento da doença, realizou uma tomografia axial computorizada (TC) cérvico-tóraco-abdominal, que mostrou sinais de metastização difusa, envolvendo a região cervical, tecido pulmonar, hepático, suprarrenal e ósseo, para além de ter confirmado a presença da massa ventricular direita (Figura 3A-B). Verificou-se adicionalmente na dependência do pericárdio adjacente à parede lateral do ventrículo esquerdo uma outra massa (Figura 3C).
Face a estes achados, foi estabelecido o diagnóstico de presunção de metastização difusa da neoplasia laríngea e o doente foi proposto para tratamento paliativo.
DiscussãoOs tumores cardíacos secundários são substancialmente mais frequentes do que os tumores primários e constituem uma das temáticas menos conhecidas da Oncologia Médica4. Uma frequência particularmente elevada de envolvimento cardíaco metastático tem sido verificado no carcinoma epidermoide do pulmão, tumores do trato urinário e melanomas, apesar de que os tumores do pulmão e da mama são os que, em número absoluto, mais metastizam para o coração3,5.
A disseminação tumoral pode decorrer de várias formas: através do sistema linfático, por extensão direta, por via hematogénea ou por difusão intracavitária por extensão direta pelas veias cava ou pulmonares. A propagação linfática constitui a principal via de disseminação de metástases cardíacas1. A invasão tumoral dos nódulos linfáticos mediastínicos limita o fluxo linfático no miocárdio, favorecendo a proliferação e migração de células neoplásicas até ao epicárdio. Cerca de dois terços de todas as metástases cardíacas envolvem o pericárdio, um terço envolve o epicárdio ou o miocárdio e apenas 5% dos tumores envolvem o endocárdio1. Geralmente, o envolvimento tumoral endocárdico resulta da disseminação hematogénea e a invasão pericárdica ocorre principalmente por propagação linfática1.
Na maioria das situações, os tumores cardíacos são assintomáticos, sendo primariamente diagnosticados na sequência de uma investigação diagnóstica de um problema não relacionado ou no contexto do estadiamento de um tumor primário recentemente diagnosticado1,3.
As manifestações clínicas mais comuns resultam da presença de um derrame pericárdico de grande volume, insuficiência cardíaca, obstrução das câmaras cardíacas ou manifestações embólicas2,6,7. O envolvimento tumoral cardíaco pode também provocar distúrbios arrítmicos, nomeadamente perturbações da condução auriculoventricular, assim como alterações inespecíficas no eletrocardiograma (ECG), nomeadamente do segmento ST e onda T. Apesar de pouco frequente, a invasão tumoral do miocárdio pode condicionar elevação sustentada do segmento ST, mimetizando um enfarte agudo do miocárdio transmural8. O caso descrito reporta um doente com envolvimento cardíaco metastático de um carcinoma laríngeo, entidade rara e pouco descrita na literatura.
A apresentação clínica, o estudo analítico e a ausência de alterações evolutivas no ECG contribuíram, de forma determinante, para o diagnóstico diferencial.
A maior utilização dos meios auxiliares de diagnóstico, de elevada qualidade, tem contribuído para um número crescente de diagnósticos, nos últimos anos. O ecocardiograma é o meio imagiológico de primeira linha para efetuar o diagnóstico de um tumor cardíaco9. A TC e a ressonância magnética são exames valiosos na complementação do estudo do tumor cardíaco, permitindo não só uma melhor caracterização da massa, como também a avaliação da extensão tumoral a estruturas extracardíacas10.
O diagnóstico do envolvimento tumoral cardíaco ocorre geralmente numa fase avançada da doença neoplásica, facto que limita o sucesso das várias opções terapêuticas, as quais podem incluir a quimioterapia, radioterapia ou mesmo cirurgia.
Os doentes que apresentam doença localizada podem ser considerados para quimioterapia neoadjuvante com a intenção de proceder à ressecção completa caso se verifique regressão suficiente da massa tumoral.
Destaca-se, nestes casos, a relevância da realização de biópsia transvenosa guiada por ecocardiograma transesofágico da massa intracardíaca, no sentido de determinar as características histológicas do tumor e orientar a terapêutica adequada7.
Nos raros casos em que o coração é o único local de metastização e o tumor primário está controlado, o tratamento pode ainda ter intenção curativa, estando indicada a ressecção cirúrgica completa da massa tumoral7. Uma outra alternativa terapêutica para a abordagem de tumores secundários intracardíacos circunscritos é a embolização do ramo coronário responsável pela irrigação sanguínea da massa tumoral11.
A cirurgia paliativa também tem o seu papel em casos muito específicos, como a presença de obstrução de uma câmara cardíaca, tamponamento cardíaco, perante um elevado potencial de embolização ou sintomas derivados de progressão tumoral local.
O prognóstico é altamente dependente do estadio e agressividade histológica do tumor. Na maioria das vezes, a metastização cardíaca ocorre no contexto de carcinomatose generalizada, o que limita a abordagem terapêutica a medidas paliativas para alívio sintomático7. No caso descrito, observou-se a presença de metastização difusa da neoplasia laríngea, presumida pelos achados imagiológicos encontrados. Dada a elevada fiabilidade do diagnóstico imagiológico, associada ao prognóstico reservado do doente, qualquer investigação adicional invasiva, nomeadamente para confirmação histológica, foi considerada dispensável e inadequada.
A abordagem destes doentes é complexa, implicando muitas vezes uma forte interação multidisciplinar.
ConclusõesOs tumores cardíacos secundários são pouco frequentes e geralmente são diagnosticados em doentes com mestastização difusa.
Este caso evidencia a complexidade inerente do processo diagnóstico de tumores cardíacos, atribuída em grande escala à inespecificidade clínica associada. Salienta ainda a importância de exames imagiológicos não invasivos, no estudo diagnóstico e prognóstico da patologia cardíaca neoplásica.
Conflito de interessesOs autores declaram não haver conflito de interesses.







