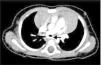
A previously healthy one-month infant was referred to our institution due to a heart murmur. The transthoracic echocardiogram showed the pulmonary trunk giving rise to the right pulmonary artery (RPA), but the left pulmonary artery (LPA) was not identified in its usual location. Instead the LPA was arising from the RPA and coursing leftward behind the trachea, with a turbulent flow (peak velocity 1.5 m/s) (Video 1). An associated ostium secundum atrial septal defect was diagnosed. The suspected diagnosis of pulmonary artery sling was confirmed by computed tomographic angiography. The LPA was seen originating from the posterior aspect of the RPA and coursing over the right mainstem bronchus and then from right to left, posterior to the trachea and anterior to the esophagus, to reach the hilum of the left lung, and causing a mild compression of the origin of the LPA (Figure 1). Besides the pulmonary artery sling and the atrial septal defect, a partial anomalous pulmonary venous return was identified, with the left superior pulmonary vein draining in the left brachiocephalic vein (Figure 2).
The anomalous origin of the LPA known as pulmonary artery sling is a rare form of vascular ring. In the vast majority of patients it is associated with respiratory symptoms in the first year of life, due to tracheal stenosis, and with a high mortality rate if there is no surgical intervention. In our case, the heart murmur led to early medical attention. The findings on echocardiography and computed tomographic angiography allowed an early non-invasive diagnosis, avoiding a potentially severe and life-threatening acute presentation.
Conflict of interestThe authors have no conflict of interest to declare.
Ethical disclosuresProtection of human and animal subjectsThe authors declare that no experiments were performed on humans or animals for this study.
Confidentiality of dataThe authors declare that they have followed the protocols of their work center on the publication of patient data.
Right to privacy and informed consentThe authors have obtained the written informed consent of the patients or subjects mentioned in the article. The corresponding author is in possession of this document.
The following are the supplementary data to this article:






